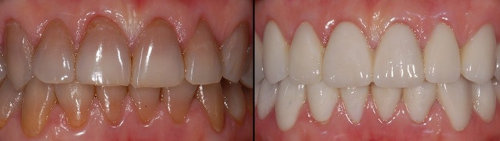
Tratamiento de carillas dentales

¿Qué son las carillas de composite?

El composite es una resina moldeable que imita muy fielmente el tono de los dientes.

En Clínica Dental Carvajal contamos con la Doctora Estela San Millán para la realización de este tratamiento, especialista en estética dental.

De esta manera, las carillas dentales de composite permiten corregir pequeños defectos de las piezas dentales con los que no estamos conformes: con el tamaño, la posición o el color.

Las carillas sirven para solucionar dientes torcidos, espacios entre ellos (diastemas),apiñamiento de piezas y cambio de coloración en dientes con manchas o tinciones por tetraciclinas.

Tratamiento de Estetica dental en la Clinica dental Carvajal de Jaen

¿Qué técnica se utiliza?

En clínica dental Carvajal utilizamos una técnica directa realizada a mano alzada mediante composite altamente estético con técnica estratificada (por capas) en la propia boca del paciente.

El dentista valorara la necesidad de realizar tallado previo o no. Normalmente la carilla de composite se realiza sin tallado del diente, sin anestesia y sin dolor.

¿Son recomendables las carillas dentales de composite?

Pero como norma general, en nuestra clínica preferimos aconsejar las carillas de composite en dos supuestos muy concretos.

· Al terminar un tratamiento de ortodoncia

En algunas ocasiones, cuando se finaliza la ortodoncia, es necesario llevar a cabo pequeños retoques para mejorar la forma o el tamaño de los dientes.

Esto sucede cuando el diente ya ocupa su posición correcta, pero no tiene un tamaño adecuado.

También puede darse este caso si dos piezas dentales no son simétricas o si es necesario cerrar pequeños espacios.

· Cuando la carilla se coloca en un solo diente

Si la corrección del defecto relacionado con la forma, el color, el tamaño o la posición se debe realizar en una única pieza dental, es preferible utilizar composite.

Con este material resulta más fácil conseguir que el color de la carilla sea igual al del resto de dientes, pues el composite se mimetiza mejor con el esmalte que la porcelana.

No obstante, el tratamiento tendría que ser valorado por la Doctora Estela y así poder aconsejar y personalizar su caso de la mejor manera posible.

Tratamiento de Estetica dental en la Clinica dental Carvajal de Jaen

Las carillas de composite tienen como principales ventajas su precio, facilidad de reparación en caso de rotura y la rapidez con la que se colocan.

¿Cómo cuidar las carillas de composite?

Independientemente de los mantenimientos que se realicen por parte del dentista, es muy importante cuidar las carillas en nuestro día a día.

Por ello, queremos darte una serie de consejos para que puedas lucir tus carillas de composite el mayor tiempo posible:

· Acudir a revisiones de mantenimiento: el especialista determinará cada cuánto tiempo debe acudir al dentista para pulir las carillas y se conservar sus propiedades estéticas durante más tiempo.

· Moderar el consumo de alimentos que tiñan o amarilleen: determinadas comidas o bebidas contribuyen a oscurecer las carillas (vino tinto, café, té, chocolate negro, frutos rojos, curry, salsa de soja…).

· Restringir malos hábitos dentales, como el tabaco: fumar afecta al color de la carilla, por lo que debemos evitar el consumo de cigarros lo máximo que podamos.

· Llevar a cabo una buena higiene bucodental: esto requiere seguir una rutina exhaustiva a la hora de cepillarse los dientes, usar hilo dental y utilizar un enjuague bucal.

· No ejercer fuerza con los dientes: hacer el movimiento de palanca que se hacen al comer una manzana a mordiscos o los gestos como morderse las uñas hacen que las carillas puedan romperse o caerse.

Contacto

Dirección: Av. Andalucía 8 - Entreplanta, 23005 - Jaén

Teléfono: 953 26 70 38

Email: info @ clinicadentalcarvajal . com

Horarios

Lunes a Viernes: 9.30h a 13.30h y 16.30h a 20.30h

Julio: 9.00h a 15.000h

Agosto: Cerrado

Consúltanos o visítanos en Jaén

¿Tienes alguna duda o quieres pedir una cita? Contacta con nosotros

Si quieres que te llamemos déjanos tu teléfono

Si prefieres escribirnos puedes rellenar el siguiente formulario


Rellena el siguiente captcha

Regístrate y gana una primera visita gratuita.
¡Incluye un estudio radiográfico!

Una vez realizado el registro recibirás en tu bandeja de correo electrónico un cupón para disfrutar de una primera visita gratuita en nuestra clínica.



Gracias por unirte a nuestra newsletter!!

Recibirás un email para confirmar tu suscripción y descargar el cupón de primera visita gratuita.

Llamar a la clínica Facebook icon Instagram icon Twitter icon